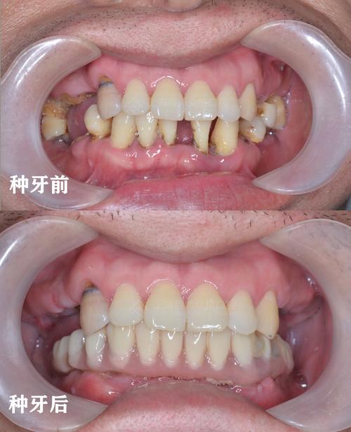
不能。 种植两颗牙绝对无法恢复半口牙的功能和美观。
原因如下:

-
种植体数量与牙齿数量的关系:
- 种植牙的核心原理是将人工牙根(种植体)植入牙槽骨中,然后在上面安装牙冠(人工牙)。
- 一颗种植体通常只能支撑一颗牙冠(单颗牙修复)。 这是最基本、最直接的对应关系。
- 半口牙(上颌或下颌)通常有14颗左右的天然牙齿(包括门牙、侧切牙、尖牙、前磨牙和磨牙),要恢复半口牙,意味着需要14颗左右的牙冠。
-
为什么两颗种植体不够?
- 力学支撑不足: 咀嚼食物时会产生巨大的咬合力,只有两颗种植体来支撑14颗牙组成的牙桥,力量会极度集中在两个点上,这会导致:
- 种植体松动或失败: 无法承受长期反复的咀嚼力。
- 牙桥断裂: 大跨度、无足够支撑点的牙桥非常脆弱,容易在咬硬物时折断。
- 牙槽骨吸收: 过大的应力会加速种植体周围牙槽骨的吸收。
- 缺乏稳定性: 半口牙需要稳固地固定在口腔中,才能正常说话、咀嚼,仅靠两个点固定,牙桥会非常不稳定,容易晃动,影响功能甚至脱落。
- 无法覆盖整个牙弓: 两颗种植体无论放在哪里,都无法为整个半口牙弓提供足够的支撑点。
- 力学支撑不足: 咀嚼食物时会产生巨大的咬合力,只有两颗种植体来支撑14颗牙组成的牙桥,力量会极度集中在两个点上,这会导致:
-
恢复半口牙的标准方案:All-on-4 / All-on-6
- 要用种植体恢复半口牙(即制作覆盖整个牙弓的固定牙桥),目前主流且有效的方法是All-on-4或All-on-6技术。
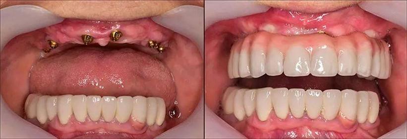
- All-on-4: 使用4颗精心设计的种植体(通常在牙弓的前后区域倾斜植入,避开神经血管),支撑起一个固定在种植体上的12-14颗牙冠组成的牙桥,这是目前最常用、性价比最高的半口牙修复方案。
- All-on-6: 使用6颗种植体(通常在All-on-4的基础上增加两颗后种植体,提供更强的后牙支撑),支撑起一个更稳固、更坚固的牙桥,适用于咬合力特别大、牙槽骨条件稍差或对长期稳定性要求极高的患者。
- 关键点: 这些方案的核心在于用少量(4或6颗)但 strategically placed( strategically placed - 精心设计位置)的种植体,通过力学设计(如倾斜植入)来分散咬合力,支撑起整个牙桥,牙桥本身是由多个牙冠连接而成的整体。
- 种植两颗牙: 只能修复两颗缺失的牙齿(单颗修复或做一个小桥)。
- 恢复半口牙: 至少需要4颗种植体(All-on-4方案),通常是6颗(All-on-6方案),才能制作一个稳固、功能良好的覆盖整个半口牙弓的固定牙桥。
- “种两颗牙恢复半口牙”在物理力学和临床实践上都是不可能实现的。
建议:

如果你需要恢复半口牙的功能,请务必咨询专业的口腔种植医生,医生会通过详细的口腔检查(包括CBCT影像评估牙槽骨量、质量、神经血管位置等),评估你的具体情况,并推荐最适合你的方案(很可能是All-on-4或All-on-6),不要轻信“种几颗就能恢复半口”的不实宣传,专业的治疗方案才能保证长期的成功和效果。

