四川省口腔正畸学术年会是由四川省口腔医学会口腔正畸专业委员会主办的一年一度的区域性学术盛会,是四川省乃至西南地区口腔正畸领域最高级别、最具影响力的学术会议之一。
以下是关于该年会的关键信息:

核心目的与意义
- 学术交流: 汇聚国内外顶尖正畸专家、学者和临床医生,分享最新的科研成果、临床技术、治疗理念和发展趋势。
- 技术提升: 为四川省口腔正畸从业者提供高水平的学习平台,提升其专业理论水平和临床实践技能。
- 经验分享: 搭建同行间交流经验的桥梁,探讨临床难题,分享成功案例。
- 促进发展: 推动四川省口腔正畸学科的整体进步,缩小与国内先进水平的差距。
- 继续教育: 提供继续医学教育项目,帮助从业者获取学分,满足职业发展需求。
- 行业盛会: 吸引相关医疗器械、材料、软件等厂商参展,展示最新产品和技术,促进产学研结合。
(通常包括)
- 专题讲座: 邀请国内外知名正畸专家就特定主题(如隐形矫治、数字化正畸、成人矫治、疑难病例处理、正畸-正颌联合治疗、基础研究进展等)进行深入报告。
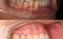
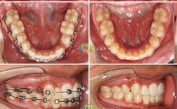
- 病例讨论: 选取具有代表性、挑战性的临床病例,由专家和参会者共同讨论分析,分享诊疗思路和经验。
- 技术工作坊: 提供手把手操作培训,教授新技术、新方法(如数字化取模、粘接技术、特定矫治器操作等)。
- 青年论坛/病例竞赛: 为青年医生提供展示才华、交流学习的平台,激发创新活力。
- 壁报交流: 展示最新的研究论文和临床成果。
- 继续教育课程: 提供系统性的知识更新和技能培训课程。
- 设备材料展览: 相关企业展示最新的正畸产品、设备、材料和技术解决方案。
参会对象
- 四川省各级医院口腔科、口腔专科医院的正畸医生、住院医师、进修生、研究生。
- 私立口腔诊所的正畸医生。
- 口腔正畸相关专业的教师、研究人员。
- 口腔正畸技师、护士等辅助人员。
- 相关医疗器械、材料、软件厂商的代表。
时间与地点
- 时间: 通常在每年年中或下半年(如6月、9月、10月或11月)举行,具体日期需关注当年的官方通知。
- 地点: 在四川省内主要城市(如成都、绵阳等)的大型会议中心、酒店或大学会议厅举办。
组织机构
- 主办单位: 四川省口腔医学会口腔正畸专业委员会(核心主办方)。
- 承办单位: 通常由四川省内某家知名口腔医学院、医院或口腔医学会具体承办(如四川大学华西口腔医院、四川省口腔医院等)。
- 协办单位: 可能包括相关学会、协会、企业等。
报名与费用
- 报名方式: 通常通过官方网站(四川省口腔医学会官网或专委会官网)、官方微信公众号或指定报名平台进行在线注册报名,报名会提前开放。
- 注册费: 分为会员费和非会员费,通常还有学生优惠价,费用包含会议资料、部分餐饮、学分证明等,具体金额每年不同,以当年通知为准。
- 学分: 参会并完成相应流程后,可获得国家级或省级继续医学教育I类学分。
如何获取最新信息
- 关注官方渠道: 最权威的信息来源是四川省口腔医学会官网及其微信公众号,这是发布年会通知、议程、报名链接等信息的首要平台。
- 关注承办单位官网/公众号: 承办单位(如华西口腔医院、省口腔医院)的官网或公众号也会发布相关信息。
- 关注行业媒体: 一些口腔医学专业媒体或平台也会转载年会通知。
- 留意同行通知: 通常在省内正畸医生群、学术群中也会传播相关信息。
四川省口腔正畸学术年会是四川省口腔正畸从业者不容错过的年度学术盛宴,它不仅是获取前沿知识、提升专业技能的重要途径,更是同行交流、拓展视野、寻求合作、了解行业动态的绝佳平台,对于希望在正畸领域不断进步的专业人士来说,积极参加该年会具有非常重要的价值。
建议: 如果你计划参加,务必提前关注四川省口腔医学会或相关承办单位的官方通知,及时了解会议的具体时间、地点、议程、报名方式和费用等信息。

