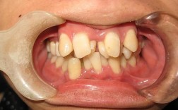
看到你关注“快成年矫正牙齿”的问题,我能感受到你对改善笑容和口腔健康的渴望,这个年龄段(通常指17-25岁)进行牙齿矫正确实是个非常理想的选择!骨骼发育基本稳定,但牙齿移动效率依然很高,而且你对自己的需求更清晰,配合度也更高,作为即将步入社会或大学阶段的年轻人,拥有一口整齐的牙齿无疑会增强你的自信,下面我为你详细梳理一下快成年矫正牙齿的关键信息,希望能帮助你做出明智的决定:

🌟 为什么快成年是矫正的黄金时期?
- 骨骼发育稳定: 大部分颌骨发育已经完成,这意味着矫正方案可以更专注于牙齿本身的排列和咬合关系的调整,效果更可预测。
- 牙齿移动效率高: 年轻人的新陈代谢旺盛,牙槽骨改建能力强,牙齿移动速度相对较快,矫正周期通常比成年人(尤其是中老年人)短一些。
- 配合度高: 你能更好地理解矫正的必要性,遵守医嘱(保持口腔卫生、按时复诊、佩戴橡皮筋等),对治疗目标有清晰的认识,沟通更顺畅。
- 心理需求明确: 对美观、社交、职业发展的需求更强烈,矫正动力更强,对结果的期待也更具体。
- 复杂问题处理能力: 对于可能存在的复杂问题(如牙周病、颞下颌关节问题、牙齿磨损等),年轻身体恢复能力更强,医生有更多时间和机会进行综合治疗。
🦷 快成年矫正牙齿需要考虑的关键点
-
矫正目标明确:
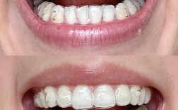
- 美观需求: 最常见的原因,希望改善牙齿拥挤、稀疏、龅牙、地包天、中线不齐、牙齿大小形态不一等问题,提升笑容自信。
- 功能需求: 改善咬合关系(深覆合、深覆盖、反合、开合等),提高咀嚼效率,缓解颞下颌关节不适,预防牙齿过度磨损。
- 健康需求: 排列整齐的牙齿更易清洁,降低蛀牙、牙周病风险;改善咬合关系有助于长期口腔健康。
-
选择合适的矫正方式:
- 传统金属托槽矫正: 最经典、经济、高效的方式,强度高,适用范围广,适用于几乎所有类型的错颌畸形,但美观性相对较差。
- 陶瓷托槽矫正: 托槽颜色接近牙齿,比金属托槽美观很多,被称为“半隐形”,强度和效果与金属托槽相当,但价格稍高,注意:弓丝有时还是可见的。
- 隐形矫正:
- 无托槽隐形矫正(如隐适美Invisalign、时代天使等): 使用一系列透明、可摘戴的牙套进行矫正,美观性极佳,几乎不影响社交;舒适度高,无口腔黏膜刺激;可自行摘戴,方便进食和清洁;复诊间隔相对较长。但对患者的自律性要求极高(必须每天佩戴20-22小时),对某些复杂病例效果可能受限,费用最高。
- 舌侧矫正: 将托槽粘在牙齿内侧(舌侧面),完全隐形,美观性最佳。技术要求极高,需要经验丰富的医生操作;价格最贵;初期发音影响较大,适应期较长;口腔异物感更强;清洁难度最大。
- 自锁托槽矫正: 传统金属/陶瓷托槽的升级版,有闭口和开口两种,摩擦力小,牙齿移动更轻柔快速,可能缩短矫正时间;复诊间隔可延长;口腔卫生相对容易维护,但价格比传统托槽高。
-
寻找专业正畸医生:
- 这是最最关键的一步! 牙齿矫正是一项高度专业化的医疗行为,效果好坏直接取决于医生的技术、经验和审美。
- 选择标准:
- 专业资质: 必须是口腔正畸学专业的医生(有硕士、博士学历或经过系统正畸专科培训),持有《医师资格证》和《执业证书》。
- 经验丰富: 特别是处理类似你牙齿问题的案例经验,可以要求看医生的案例库。
- 沟通顺畅: 能耐心倾听你的诉求,用你能理解的语言解释方案、风险、预期效果,并尊重你的选择。
- 方案合理: 提供的矫正方案应该综合考虑你的牙齿、颌骨、面部美学、功能需求以及个人意愿,而不是一味推销最贵或最热门的方式。
- 口碑良好: 可以通过朋友推荐、线上评价(注意辨别真伪)等方式了解。
- 不要只看价格: 矫正是一项长期投资,效果和健康是首要考虑,过低的价格可能意味着经验不足或使用劣质材料。
-
全面口腔检查和评估:
- 正畸医生会进行详细检查:
- 口腔检查(牙齿龋坏、牙周健康、口腔卫生状况)。
- X光片(全景片、头颅侧位片):评估牙齿数量、位置、牙根情况、颌骨大小位置关系、生长发育潜力(即使成年也有一定参考价值)。
- 模型:记录牙齿原始形态。
- 口腔内外照片:记录面部和牙齿情况。
- 必要时CBCT:三维评估颌骨、牙齿、牙根、神经血管等复杂情况。
- 可能需要先处理其他问题: 如严重的牙周病需要先治疗稳定;蛀牙需要先补牙;智齿问题需要评估拔除与否等。牙周健康是矫正成功的基础!
- 正畸医生会进行详细检查:
-
矫正周期和保持:
- 周期: 根据牙齿问题的复杂程度,快成年矫正通常需要 5 - 3年 左右,隐形矫正可能周期稍长或稍短,取决于具体方案。
- 保持器: 矫正结束后必须佩戴保持器! 这是防止牙齿复发回到原来位置的关键,通常需要全天佩戴(至少6个月到1年),之后逐渐过渡到夜间佩戴,甚至可能需要终身佩戴(尤其是隐形矫正的保持器),快成年矫正后复发风险相对青少年低,但仍需重视保持。
-
费用问题:
- 矫正费用差异很大,主要取决于:
- 矫正方式: 金属<陶瓷<隐形<舌侧。
- 病例复杂程度: 越复杂,费用越高。
- 医生经验和地区: 经验丰富、知名医生或大城市费用更高。
- 所在医院/诊所: 公立医院、私立诊所、连锁品牌定价不同。
- 快成年矫正通常需要自费(除非有特殊医保政策,但非常罕见),提前做好预算,了解清楚费用构成(是否包含拔牙、骨钉、保持器等)。
- 矫正费用差异很大,主要取决于:
📍 给快成年矫正牙齿者的建议
- 不要犹豫,行动起来! 快成年是矫正的绝佳时机,不要等到问题更复杂或年龄更大再考虑。
- 重视专业咨询: 务必预约2-3位不同正畸医生进行面诊咨询,带上你的疑问(我的问题严重吗?有哪些方案可选?各自的优缺点、费用、周期、风险是什么?),对比他们的方案、专业度和沟通方式,选择最信任、最适合你的医生。
- 明确自身需求和预算: 想清楚你最看重什么(美观?速度?舒适度?价格?),设定一个合理的预算范围。
- 做好长期投入的准备: 矫正不仅是金钱投入,更是时间和精力的投入(复诊、保持器佩戴、口腔维护),要有耐心和毅力。
- 口腔卫生至关重要: 矫正期间牙齿更容易清洁死角,必须严格刷牙(使用正畸牙刷、牙缝刷、冲牙器等),定期洗牙,否则容易导致脱矿、龋齿、牙龈炎,影响矫正效果和牙齿健康。
- 理解风险和预期: 任何医疗行为都有风险(如牙根吸收、复发、疼痛等),与医生充分沟通,了解可能的风险,建立合理的预期效果,矫正的目标是达到功能与美学的平衡,而非追求“完美”。
- 保持积极心态: 矫正过程可能会有不适感(初期、每次加力后),牙齿移动过程中也可能有反复,保持耐心和信心,与医生良好配合是成功的关键。
快成年矫正牙齿,选择专业正畸医生 + 明确矫正目标 + 选择合适的矫正方式 + 做好口腔卫生和长期保持 = 成功矫正!
别让犹豫成为遗憾,一口整齐的牙齿会是你青春最美的注脚。 现在就开始咨询专业医生,迈出自信的第一步吧!如果还有其他具体问题,随时可以再问我哦,祝你早日拥有心仪的笑容!😊
