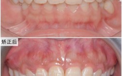
矫正牙齿(正畸治疗)是治疗地包天(反颌)最主要和最有效的方法,地包天指的是下排牙齿包住了上排牙齿,这在医学上称为“反颌”,它不仅影响美观,更重要的是会带来一系列口腔功能和健康问题。

矫正牙齿对地包天的作用和重要性体现在以下几个方面:
🦷 1. 美观改善
- 最直观的效果: 矫正后,牙齿排列整齐,上下牙齿关系恢复正常,面型会得到显著改善,地包天常导致“月牙脸”、“地包天脸型”(下巴前突、面中份凹陷),矫正后可以使面型更协调、更美观,提升自信心。
⚙️ 2. 恢复正常的咀嚼功能
- 提高效率: 地包天会导致上下牙齿无法正常咬合,咀嚼效率低下,食物得不到充分磨碎,增加胃肠负担。
- 保护牙齿: 不正常的咬合会使某些牙齿承受过大的咬合力,容易导致牙齿磨损、松动、折裂等问题,矫正后,咬合力分布均匀,保护牙齿。
🤯 3. 改善发音和语言功能
- 地包天可能影响某些音(如“s”、“z”、“th”等)的准确发音,矫正后,舌头和牙齿的位置关系恢复正常,有助于清晰发音。
😣 4. 缓解或避免颞下颌关节紊乱
- 不良的咬合关系是诱发或加重颞下颌关节紊乱的重要因素,地包天患者常有关节弹响、疼痛、张口受限等问题,矫正牙齿建立稳定的咬合关系,有助于缓解这些症状,保护颞下颌关节健康。
🧒 5. 引导颌骨正常生长(尤其适用于儿童和青少年)
- 骨性反颌: 对于儿童和青少年时期的骨性反颌(即下颌骨相对于上颌骨过大,或上颌骨发育不足),早期进行正畸干预至关重要,可以利用生长发育潜力,通过功能性矫治器(如FRIII矫治器、前方牵引装置等)引导上颌骨向前生长,抑制下颌骨过度生长,从而从根本上改善骨骼关系,避免成年后需要更复杂的正畸-正颌联合手术。
- 牙性反颌: 对于主要由牙齿位置异常引起的牙性反颌,通过移动牙齿即可纠正。
🦷 6. 为其他治疗创造条件
- 对于严重的骨性反颌,成年后可能需要正畸-正颌联合治疗(即先通过正畸将牙齿排列到手术所需的位置,再通过正颌手术移动颌骨到正确位置,最后再精细调整牙齿咬合),术前术后的正畸治疗是整个治疗计划中不可或缺的关键环节。
🛠️ 矫正地包天的主要方法
- 固定矫治器(传统“钢牙”): 这是最常用的方法,通过托槽和弓丝施加力量,移动牙齿到正确位置,对于复杂病例或需要控制颌骨生长的病例,常配合使用颌间牵引(橡皮筋)。
- 活动矫治器: 主要用于乳牙期或替牙期的早期干预,引导颌骨生长或简单移动牙齿。
- 功能性矫治器: 如前述的FRIII、前方牵引等,主要用于替牙期或恒牙早期,利用肌肉力量引导颌骨生长。
- 隐形矫治器(如隐适美、时代天使等): 对于轻中度的牙性反颌,隐形矫治器也是一种选择,美观舒适,方便清洁,但对于复杂的骨性反颌或需要颌间牵引的病例,效果可能有限。
- 正畸-正颌联合手术: 对于严重的骨性反颌,单纯正畸无法完全解决问题,需要通过正颌手术移动颌骨,配合术前术后正畸治疗。
📌 关键点总结
- 矫正牙齿是治疗地包天的核心手段。
- 早期干预至关重要: 儿童和青少年时期是干预的黄金时期,尤其是对于骨性反颌,早期引导可以事半功倍,避免或减少成年后手术的需要。
- 需要专业评估: 地包天成因复杂(牙性、骨性、功能性或混合性),治疗方案必须由专业的正畸医生进行详细检查(包括临床检查、模型分析、X光片测量等)后制定个性化方案。
- 治疗目标明确: 不仅是排齐牙齿,更重要的是建立稳定、健康的咬合关系,恢复面部美观和功能,保护牙周和颞下颌关节健康。
- 可能需要多学科合作: 对于复杂的骨性反颌,可能需要正畸医生、颌面外科医生、牙周医生等多学科专家的合作。
矫正牙齿对地包天不仅是可行的,而且是必要的。 它能有效改善美观、恢复功能、预防并发症,尤其是在儿童和青少年时期进行早期干预,效果更佳,如果你或你的孩子有地包天的问题,强烈建议尽早咨询专业的正畸医生,进行全面的评估,制定最适合的治疗方案,不要因为担心美观或疼痛而拖延,越早治疗,效果通常越好,治疗过程也可能相对简单舒适。💪🏻
